2020年5月に精液中にコロナウイルスが存在してきたという論文を報告させていただきました。当時はまだパンデミック初期で十分な研究がなされていなかったと思います。
1年ほど経過して各国からこのトピックで様々な論文が出てまいりましたので、アップデートして報告します。
先に結論から言うと、感染しても精液所見は一時的に悪化しますが、多くは回復し、精液中にはコロナウイルスが持続的に検出されることはなさそうです。
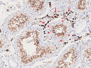
まずCOVID-19に感染したら精巣の病理学的変化(精巣組織の変化)はどうなっているのか検討した論文を紹介します。https://pubmed.ncbi.nlm.nih.gov/32563676/

この写真はコロナに感染し死亡した症例の精巣をCOVID-19の標的であるACE2で染色した病理写真です。ACE2は精細管の細胞に分布しています。従って精巣はコロナウイルスの標的となり、感染することで精巣組織に損傷を起こすことが想像できます。
次にコロナウイルス感染から回復したあとの精液所見を検討した論文です。https://pubmed.ncbi.nlm.nih.gov/33522572/
SARS-CoV-2に感染し、治癒が確認された男性43例を評価。43症例170検体(唾液、尿、精液)で精液からSARS-CoV-2が検出されたものは1症例のみで、その症例は全ての検査部位(唾液、尿、精液)から検出されています。精液検査は43症例のうち11例(25%)で異常所見あり:8例は無精子症、3例は乏精子症であり、重症度と相関がありました。

この表はコロナ感染者を外来、入院、ICUの3群に分類したときの精液所見をみたものです。特に赤線を引いた部分は有意差がついているもので、精液検査、精子の生きている割合、インターロイキンの変化など示しています。ICUまで行ってしまった症例はほぼ無精子になっており、この機序は発熱によるものなのか炎症性サイトカインによるものなのか、ウイルスの直接的な作用によるものなのか未だ不明です。
この論文の結論で示唆していたポイントは以下になります。
COVID-19感染から回復した男性において
- 性行為でSARS-CoV-2を感染させる危険性は無視できる範囲だろう
- 4分の1が精子濃度の減少と生殖器管の炎症兆候を示した
- これは病気の重症度と厳密に関連する
- 生殖機能と精液のパラメータについて慎重なフォローアップを受けるべき
次はコロナ感染者をフォローして、精液中のコロナウイルスの存在をみた論文です。https://pubmed.ncbi.nlm.nih.gov/32650948/
COVID-19感染から回復した男性から症状消失後8~54日後に18検体、一方で感染していない対照者(コントロール群)からは14検体のサンプルを採取しています。なおCOVID-19感染のグルーブで2検体は急性期の患者さんでした。
結果ですがコントロール群、COVID-19感染群においても全ての検体において精液中にはRT-PCRによるRNAは検出されませんでした(COVID-19感染者2名含む)。なお中等度の感染者では、精子の質の低下が認められました。
この論文ではSARS-CoV-2 RNAは、COVID-19陽性の回復期および急性期の男性の精液からは検出されておりません。このことから、感染者の性的接触や生殖補助技術によるウイルス感染は基本的にないと報告されております。
矢継ぎ早ですが、同様の論文でCOVID-19感染から回復した74名の尿、前立腺液、精液のPCRを実施した論文です。https://pubmed.ncbi.nlm.nih.gov/33150723/
この論文でも検体からSARS-CoV-2は検出されておりません。さらに精液所見は経時的に回復することが示されておりました。
「まとめ」
以上の論文から、おそらくCOVID-19感染による性感染症、人工授精、体外受精を介するパートナーへの感染可能性は極めて低いと考えられます。
SARS-CoV-2 の変異や感染拡大に関して予断は許しませんし、今後新たな知見が出てくる可能性はありますが、1年前にJAMAの論文でコロナウイルス感染がパートナーの感染を引き起こすような警鐘が鳴らされておりましたが、だいぶ見解が変わってきた印象です。
今後も新たな情報があればアップデートしていきたいと思います。
文責 木村将貴